Röntgenbilder:
Um eine eine individuelle Behandlungsplanung durchführen zu können, müssen zum Diagnostiktermin auch 2 Röntgenaufnahmen angefertigt werden.
1.) Das Fernröntgenseitenbild (FRS) ist eine seitliche Röntgenaufnahme des Kopfes. Das Röntgenbild gibt Informationen über den Verlauf des Gesichtsprofils, die Lage des Ober- und Unterkiefers relativ zur Schädelbasis sowie die Stellung der Zähne im Ober- und Unterkiefer.
Während des gesamten Wachtums - besonders in der Zeit des Wechselgebisses - gibt diese spezielle Röntgenaufnahme Hinweise auf den knöchernen Aufbau des Gesichtsschädels sowie die Richtung des Schädel- und Gesichtswachstums.
Diese Röntgenaufnahme wird vor allem bei der Planung und Überwachung einer kieferorthopädischen Behandlung benötigt. Die digitale Übertragung der anatomischen Strukturen in ein Analyseprogramm und deren Auswertung gibt wertvolle Hinweise für die Möglichkeiten und Grenzen der Planung einer kieferorthopädischen und auch kiefer-chirurgischen Behandlung.
Die Informationen des Röntgenbildes sind entscheidend bei der Auswahl des richtigen Behandlungsgerätes.

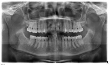
2.) Das Orthopantomogramm (OPG) oder auch Panorama-Übersichtsaufnahme zeigt den Stand des Zahnwechsels, die Zahnanlagen im Kiefer, Fehlbildungen der Zähne, den Zustand der Zahnwurzeln und des Zahnhalteapparates (Parodont).
Insbesondere beim Wechselgebiss gibt das Röntgenbild dem Zahnarzt und Kieferorthopäden die erforderlichen Informationen über die Anlage und Lage von Zähnen sowie den Entwicklungsstand der Wurzelbildung. Hier können auch rechtzeitig besondere Befunde wie Nichtanlage von Zähnen, überzählige Zähne und falsch liegende Zähne (Retentionen) entdeckt werden.
Diese Aufnahmen werden während der Behandlung wiederholt, um z.B. den Zahnwechsel zu kontrollieren, die Zahnachsenstellung zu überprüfen und Veränderungen am Zahnhalteapparat und der Zahnwurzel zu sehen.

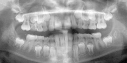
Wechselgebiss

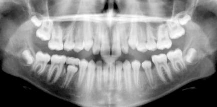
Spätes Wechselgebiss

In unserer neuen Praxis steht eine digitale Röntgenanlage zur Verfügung. Diese Anlage gewährleistet unseren Patienten kürzere Wartezeiten beim Röntgen und eine niedrigere Strahlenbelastung. Beim digitalen Panorama-Röntgen kann eine Dosisreduktion gegenüber älteren filmbasierten Geräten bis zu 50%, beim digitalen Fernröntgen sogar bis zu 70% erreicht werden.